Centre de radiologie pour Radio thorax à Fuveau 13710

Contactez-nous
Les champs indiqués par un astérisque (*) sont obligatoires
Radiographie dentaire adulte ou enfant avec sécurisation de la dose X et traitement immédiat à Marseille 13013

Radiographie dentaire adulte ou enfant avec sécurisation de la dose X et traitement immédiat à Marseille 13013

À Marseille 13013, il est possible de bénéficier d’une radiographie dentaire pour adulte ou enfant, avec une sécurisation rigoureuse de la dose X, assurant la protection du patient tout en permettant un traitement immédiat. Centres d’imagerie spécialisés proposent des technologies avancées et une ...
En savoir plus
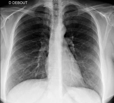
Faire une radiographie du thorax à Marseille et Fuveau

Faire une radiographie du thorax à Marseille et Fuveau

La radiographie du thorax est un examen réalisé couramment dans les centres d'imagerie médicale comme ceux de Marseille Lodi, La Rose et Fuveau, pour la visualisation des poumons mais également de la silhouette cardiaque et des plèvres. Les poumons normaux sont constituée majoritairement d'air et ...
En savoir plus
Centre de radiologie avec radiographie des pieds pour suivi podologique à Allauch dans les Bouches-du-Rhône avec accès facilité

Centre de radiologie avec radiographie des pieds pour suivi podologique à Allauch dans les Bouches-du-Rhône avec accès facilité

Situé à Allauch, dans les Bouches-du-Rhône, le centre de radiologie offre un accès facilité pour les patients nécessitant une radiographie des pieds dans le cadre d’un suivi podologique. Les équipements de pointe et l’expertise radiologique permettent une prise en charge rapide et précise pour opt...
En savoir plus

Nos prestations sur le secteur de Fuveau 13710

Bilan échographique complet du foie, rate et pancréas à Marseille 13006 avec radiologue référent en hépato-imagerie

Bilan échographique complet du foie, rate et pancréas à Marseille 13006 avec radiologue référent en hépato-imagerie

À Marseille 13006, réaliser un bilan échographique complet du foie, de la rate et du pancréas permet une évaluation précise des organes abdominaux, notamment avec l’expertise d’un radiologue référent en hépato-imagerie. Ce type d’examen, non invasif et essentiel, est indiqué pour dépister ou surve...
En savoir plus
Mammographie numérique haute définition avec radiologue référent en sénologie à Marseille 13006 secteur conventionné

Mammographie numérique haute définition avec radiologue référent en sénologie à Marseille 13006 secteur conventionné

La mammographie numérique haute définition est aujourd’hui la méthode de choix pour le dépistage et le suivi des pathologies mammaires à Marseille 13006. Encadrée par un radiologue référent en sénologie, cette technique d’imagerie médicale offre une prise en charge précise, rapide et sécurisée, da...
En savoir plus

Notre zone d'activité pour ce service Centre de radiologie pour Radio thorax à

Centre imagerie Marseille 13013 pour mammographie de dépistage numérique avec double lecture radiologique pour femmes dès 50 ans

Centre imagerie Marseille 13013 pour mammographie de dépistage numérique avec double lecture radiologique pour femmes dès 50 ans

La mammographie de dépistage numérique avec double lecture radiologique est une méthode de référence pour le dépistage précoce du cancer du sein chez les femmes dès 50 ans à Marseille 13013. Ce type d'examen proposé en centre d’imagerie permet une analyse fiable et rapide, garantissant une prise e...
En savoir plus

Radiographie panoramique dentaire professionnelle à Fuveau 13710

Bienvenue sur le site de SCM RADIOLOGIE LODI NOTRE DAME 2, centre de radiologie à Fuveau 13710. Vous pourrez y consulter nos horaires, nos adresses et d'autres informations pratiques pour optimiser votre prise de rendez-vous en ligne.

Centre de radiologie à Fuveau 13710

  • ➤ Passer un scanner à Fuveau 13710 pour des examens sur www.imageriemedicale13.fr
  • ➤ Passer un scanner pour le genou à Fuveau 13710 :SCM RADIOLOGIE LODI NOTRE DAME 2, Imagerie Médicale 13


Que vous ayez besoin de passer une échographie en 3D à Fuveau 13710 pour voir votre bébé bouger ou que vous ayez envie de passer un scanner pour contrôler d'où viennent des maux de tête, vous devriez trouver le cabinet de radiologie à Fuveau 13710 adapté à ce que vous cherchez.

add_location_alt
4 centres de radiologie
timer
RDV rapide
health_and_safety
Urgence acceptée
star
Matériel innovant et haut de gamme