Nos examens

Examens pratiqués au Centre Radiologie Médical à Marseille 13013 et 13006

Large choix d’examens d’imagerie médicale et de radiologie avec résultats rapides et matériel innovant

Nos centres d’imagerie médicale à Marseille et Fuveau mettent à votre disposition un plateau technique complet et moderne pour la réalisation de vos examens. Nous proposons la radiographie, l’échographie, la mammographie, le panoramique dentaire, l’ostéodensitométrie, l’écho-doppler, les infiltrations, l’arthroscanner ainsi que le cône beam CT.

Les rendez-vous sont fixés dans les meilleurs délais et les résultats vous sont communiqués rapidement, afin de garantir un suivi médical efficace. Nos centres acceptent également les urgences pour répondre aux situations nécessitant une prise en charge immédiate.

Équipés d’un matériel de dernière génération, nos radiologues, manipulateurs et secrétaires veillent à assurer un diagnostic précis et une prise en charge respectueuse et attentive. Chaque examen est réalisé dans des conditions d’hygiène irréprochables, avec un accompagnement personnalisé tout au long de votre parcours.

  • 4 centres de radiologie
  • Rdv rapide
  • Urgence acceptée
  • Matériel innovant et haut de gamme
Réaliser une échographie de la glande thyroïde

Réaliser une échographie de la glande thyroïde

Echographie thyroïdienne à Marseille et Aix-en-Provence
Se préparer avant une échographie de l'appareil urinaire

Se préparer avant une échographie de l'appareil urinaire

Comment se préparer avant une échographie pour l'appareil urinaire, vessie, rein, prostate.
Examen Doppler pour analyser le flux artériel ou veineux, à Marseille

Examen Doppler pour analyser le flux artériel ou veineux, à Marseille

Vos centres d'imagerie médicale Marseille Lodi, La Rose et Fuveau vous propose des examens Doppler.Le Doppler nous offre un moyen simple et non invasif d'aider à la recherche d'un diagnostic dans une maladie qui, dans certains cas, se présente de manière très variée avec des symptômes dont l'inte...
Rapport de stéatose

Faire une échographie du foie, mesure de la stéatose

Nos centres de radiologie sont équipés de logiciel de quantification du taux de graisse (stéatose) dans le foie.
Infiltration articulaire postérieure sous contrôle scopique à Marseille

Infiltration articulaire postérieure sous contrôle scopique à Marseille

Nos centre d'imagerie médicale Marseille Lodi, La Rose et Fuveau réalent les infiltrations articulaire postérieure sous contrôle radiographique. Après avoir nettoyé la peau, nous positionnons une aiguille au niveau d'une des articulations postérieures de la colonne vertébrale. Une anesthésie est r...
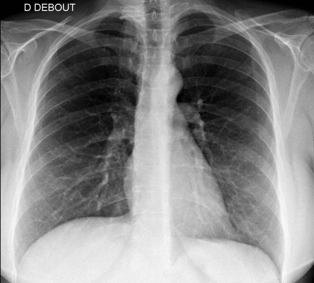
Faire une radiographie du thorax à Marseille et Fuveau

Faire une radiographie du thorax à Marseille et Fuveau

La radiographie du thorax est un examen réalisé couramment dans les centres d'imagerie médicale comme ceux de Marseille Lodi, La Rose et Fuveau, pour la visualisation des poumons mais également de la silhouette cardiaque et des plèvres. Les poumons normaux sont constituée majoritairement d'air et ...
Faire une radiographie du rachis cervical

Faire une radiographie du rachis cervical

Radiographie du rachis cervical sont souvent demandée dans le bilan initial d'une douleur cervicale spontanée avec ou sans irradiation dans le bras, au suite à un traumatisme.Elles permettent de mettre en évidence les lésions traumatiques, dégénératives (arthrose) ainsi que les pincements discaux...
Réaliser une ponction sous échographie

Réaliser une ponction sous échographie

Une ponction à l'aiguille d'un épanchement, d'un hématome ou d'un kyste poplitée est possible avec un guidage échographie. le guidage échographique permettra de localiser en temps réel l'aiguille.Une nettoyage soigneux de la peau sera réalisé au préalable. Ce geste est rapide, environ 5 minutes, e...
Faire une infiltration sous guidage échographique

Faire une infiltration sous guidage échographique

L'injection d'un corticoïde dans une articulation, au niveau d'une bourse de glissement ou au contact d'un tendon est communément appelée "infiltration".Nous réalisons ce geste avec un guidage échographique afin d'injecter au mieux le médicament cortisonique.L'infiltration peut être couplée avec u...
Opacification de l'articulation (arthrographie) du genou avant injection de produit cortisonique pour verifier la bonne position

Infiltration cortisonique avec guidage radioscopique Marseille - Fuveau

Passer une Infiltration cortisonique sur Marseille et Fuveau.L'injection d'un corticoïde dans une articulation, au niveau de la colonne vertébrale ou au contact d'un tendon est communément appelée "infiltration". Nous réalisons ce geste avec un guidage radiographique afin d'injecter au mieux le mé...
Radiographie de la main

Passer une radiographie de la main, du poignet ou du doigt

Vos centres d'imagerie médicale Lodi, La Rose et de Fuveau vous proposent de passer une radiographie de la main, du poignet ou du doigt.Les clichés radiographiques sont réalisés dans vos centres d'imagerie médicale en cas de douleur ou de traumatisme. Les radiographies  permettent de détecter les ...
Faire un Cone Beam  CT sur Marseille

Faire un Cone Beam CT sur Marseille

Imagerie dentaire, des sinus, maxillo-faciale et arthroscanner
add_location_alt
4 centres de radiologie
timer
RDV rapide
health_and_safety
Urgence acceptée
star
Matériel innovant et haut de gamme